忍者ブログ

Angel Blue ~アメリカICUナースのブログ~

カリフォルニアの大学病院にあるICUで看護師をして7年目。 ICUの中で起こる日々のドラマ。 アメリカの命の現場から生の声をお届け! アメリカ医療の裏側やナースの日常を覗いてみませんか? まずは「ハイライト」内の記事からチェック!!

HOME Admin Write
×

[PR]上記の広告は3ヶ月以上新規記事投稿のないブログに表示されています。新しい記事を書く事で広告が消えます。

↓↓↓ ランキング奮闘中です! ♥応援クリックよろしくお願いします♥
ブログランキング・にほんブログ村へ 人気ブログランキングへ


昨日、Black Friday が国民的ショッピングの日という記事を書きましたが、

感謝祭翌日の休日、Black Friday も世間がショッピングモード一色の中、

そんな事はお構いなしにICUはフル稼働。



感謝祭の日に受け持った患者さん を2日続けて受け持つことに。

ところが、一夜明けて病院に戻ってみると、とんでもないことになってました!



夜勤のナースからの申し送りによると、この患者さん、

夜中に行ったCTスキャンで

緊張性気胸が発覚!



CTから病室に帰り、即座に胸腔チューブを挿入する手術が行われたそうです。



この緊張性肺気胸、胸の中が凄まじいことになってしまうのです!



簡単に言うと、片方の肺から何らかの理由で空気が胸腔に漏れ、

その空気により肺がちっちゃく潰されちゃうんです



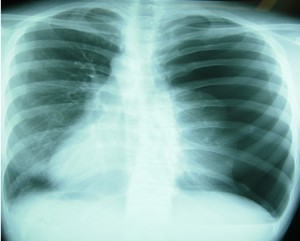
レントゲン例を『気になる病気と症状辞典』さんのサイトからお借りしました。


spontaneous_pneumothorax.jpg


黒い部分が空気です。



これを見ると、向かって右側にある肺がちっちゃくなり、

その周りの胸腔が空気でいっぱいになってるのが分かりますか?



さらに、その空気に押されて気管が向かって左側に斜めにシフトしています。



そして、向かって左側の肺と心臓(向かって左下の白い部分)が、

これまた溜まった空気に押し寄せられてるのが分かります。



向かって右側の横隔膜も空気に押され通常の状態より下に押されて沈んでいます。




こちらの写真はもっと極端な例です。



Radiology masterclassというイギリスのサイトに行くとこの大きな写真が図解付きで見れます。



もっと分かりやすい図解を『レジデント初期研究用資料』さんのサイトからお借りしました。


緊張性気胸 図解



これは、上のレントゲン写真とは逆の方向の図解になっていますが、

私が上記で説明したポイントが分かりやすく描かれています。



こんな風に、

本来は空気の無いはずの胸腔に空気がいっぱいに溜まって大変なことにな

それが、緊張性気胸という病態です。



もちろん潰れた肺や圧迫されたもう一方の肺・心臓は通常通り機能できません。

呼吸不全や血圧低下による生命の危険に陥る可能性が高いので、

早急な処置が必要になります。

(詳しい肺気胸のWiki説明はこちら



どう治すかというと、救急救命的には一般に、

第4肋間に大きめの注射針を刺し、刺した針から空気を逃がします。

一瞬で空気が逃げると、ほぼ元の状態に肺が膨らみ戻ることが出来ます。



この患者さんの場合は、ICUで他の病気との兼ね合いもあったので、

胸腔チューブが挿入され暫くかけて、

チューブを介し空気や胸腔に溜まった水も抜くという処置が取られました。



肺気胸の患者さんは今まで何人も見てきましたが、

この患者さんのものほど顕著な緊張性気胸のx線所見は見たことないので
(本当に教科書に載るくらいスゴイ)

目が飛び出そうになりました!



朝、胸腔チューブ挿入「前」と「後」の両方のx線写真を見ましたが、

挿入後の写真は肺が収まるべき場所にきちんと収まっていたのでほっと一安心。



家族の方にも私がこの2つのレントゲン写真を見せて分かりやすいように説明。

ちゃんともとに戻った肺を確認して、安堵の表情を浮かべてらっしゃいました。



深夜のバタバタで相当疲れていたのでしょう。

この患者さんご本人はその日の昼間はぐっすりお休みになられていました。

直接の原因はハッキリとは分かりませんが、本当に早期発見できて良かったです。



拍手[5回]

PR
↓↓↓ ランキング奮闘中です! ♥応援クリックよろしくお願いします♥
ブログランキング・にほんブログ村へ 人気ブログランキングへ

この記事へのコメント

お名前
タイトル
メール(非公開)
URL
文字色
絵文字 Vodafone絵文字 i-mode絵文字 Ezweb絵文字
コメント
パスワード   コメント編集に必要です
 管理人のみ閲覧

この記事へのトラックバック

トラックバックURL:

プロフィール

名前
Angel
職業:
看護師 Registered Nurse
趣味:
ゴルフ ピアノ 食べ歩き
自己紹介:
1978年、早生まれ
埼玉県出身
カリフォルニア在住
アメリカ暦9年

日本の大学卒業後、医学研究職2年。

その後アメリカの大学へ留学。看護学部を卒業しBSN(Bachelor of Science in Nursing)取得を経て、RN(Registered Nurse)免許取得。

2004年夏より、カリフォルニアにある大学病院のICU(集中治療室)にて勤務中。
7年目のベテランナース(?)

最新コメント

[04/20 ますみ]
[04/17 NP王子。]
[04/15 花Momo]
[04/15 SMH ]
[04/13 Isamu LA]

リンク

カウンター

free counters
Flags counted since 11/28/2010

ランキング

☆応援ありがとうございます☆

1日1クリックずつポチっとしていただけると励みになり嬉しいです♥

ブログランキング・にほんブログ村へ

人気ブログランキングへ

PR

カレンダー

11 2025/12 01
S M T W T F S
1 2 3 4 5 6
7 8 9 10 11 12 13
14 15 16 17 18 19 20
21 22 23 24 25 26 27
28 29 30 31

RSS

track feed Angel Blue

最新トラックバック

バーコード

Copyright ©  -- Angel Blue ~アメリカICUナースのブログ~ --  All Rights Reserved
Design by CriCri / Material by 押し花とアイコン / powered by NINJA TOOLS / 忍者ブログ / [PR]